
All-on-4: Fixed Full Mouth Dental Implants in 72 Hours? How is it Possible? Tooth loss is not just an aesthetic issue; it fundamentally shakes self-confidence, makes eating difficult, and distorts speech. Many people struggle for years with unstable, removable dentures or delay treatment due to fear of long recovery times. However, modern dentistry offers a revolutionary solution: the All-on-4 concept, which allows patients to regain their quality of life within days. But is it really possible to get fixed Full mouth dental implants in just 72 hours? The answer is […]
Battle of Implant Brands: Why We Use Nobel Biocare and DIO for Dental Implants in Budapest? When a patient realizes they need tooth replacement and decides on implantation, they suddenly find themselves in the middle of a vast, seemingly opaque market. If you search for „dental implant brands,” you will encounter products from hundreds of manufacturers, ranging from Swiss luxury to Far Eastern mass-market items. The question rightfully arises: what is the difference between one screw and another? Why does one cost twice as much? And most importantly: which one […]
How Much Tooth Structure Needs to be Removed for Veneers? Myths vs. Reality When the topic of aesthetic dentistry, and specifically dental ceramic veneers, comes up, most patients experience a conflict between two strong emotions. On one hand, there is the desire for a perfect, harmonious smile. On the other hand, there is a paralyzing fear: „How much of my own healthy tooth structure needs to be filed away?” The internet is full of frightening images of shaved-down, „shark-like” stumps, which only serve to reinforce this anxiety. It is time […]
All-on-4 Prices in the UK, Hungary, and Turkey: The Great Comparison. Where is it Worth It with the Lowest Risk? Rehabilitating complete tooth loss or a failing dentition is not merely an aesthetic issue; it is the key to regaining quality of life. In recent years, All-on-4 technology (a fixed full arch on four implants) has become the gold standard for those wishing to avoid the discomfort of removable dentures. However, when a British patient faces local quotes, they often go into shock: rehabilitating a single jaw can cost as […]
The future is here: Nobel X-Guide. The Most Precise Methods for Dental Implant Placement Tooth loss is not merely an aesthetic issue; it is a serious health concern that affects our chewing function, speech, and self-confidence. When deciding on tooth replacement, it is natural to seek the most durable and safe solution possible. Dental implantology has undergone explosive development in recent decades, yet many patients are unaware that the method and precision of placement are just as important—if not more so—than the brand of the implant itself.In this article, we […]
Microscopic Root Canal Treatment: Why Is It Different? What Are the Benefits? When Do You Need It? Who Can Perform It? Root canal treatment is one of the most common dental procedures, aimed at saving a tooth. Thanks to modern technology, root canals no longer need to be associated with pain or lengthy appointments: microscopic root canal treatment is significantly more effective, faster, and safer than traditional methods. But what makes this method so special? When is it necessary? And who is qualified to perform it? This article explains everything […]
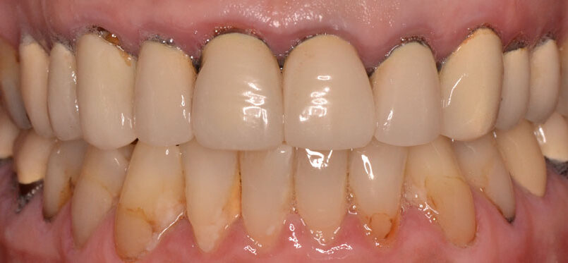
Many patients notice a gray line near the gum after receiving metal-ceramic dental crowns, especially on front teeth. This can affect your smile’s appearance and raise concerns about dental health. Understanding the causes and solutions is the first step toward a healthy, natural-looking smile. What Causes a Gray Line at the Gum Margin? The gray line is often caused by the metal framework of traditional crowns becoming visible at the gum edge. This can occur due to: Thin or worn porcelain edges Gum recession over time Darkened tooth roots, especially […]
Guided Dental Implantation with X-Guide In recent years, the field of dental implants has undergone remarkable technological development. Patients expect greater safety, more predictable outcomes, and faster healing, while dentists seek tools that support precise and well-planned procedures. One of the most significant advancements in this area is guided implant placement, with the X-Guide dynamic navigation system representing the forefront of this technology. What Is the X-Guide System? The X-Guide is a real-time 3D navigation tool that provides GPS-like guidance during implant surgery. It synchronizes CBCT scan data with […]