Dental Replacements: From Dentures to All-on-4
Dental Replacements: The Ultimate Guide – From Removable Dentures to Fixed All-on-4
Losing teeth is far more than just an aesthetic concern. When one or more teeth are missing, it can lead to chewing difficulties, a sagging facial profile, and a significant loss of self-confidence. Fortunately, modern dentistry now offers numerous paths to full rehabilitation.
In this article, we will guide you through the various options for tooth replacement: from traditional methods and fixed bridges on natural teeth to the most advanced dental implants.
1. Traditional Removable Dentures: The Basic Solution
The classic, long-standing method for treating complete tooth loss, typically chosen when surgical intervention is not possible or the budget is limited.
Standard Complete Dentures
This restoration rests on the gums and the palate, held in place by a vacuum effect (or, in less ideal cases, denture adhesive cream).
- Pros: The fastest and most affordable method for dental replacement. No surgery required.
- Cons: Often unstable, can irritate the gums. The palate coverage reduces taste sensation, and in the long term, it can lead to bone resorption. Lower dentures can be particularly mobile.
BPS (Biofunctional Prosthetic System) – Premium Removable Dentures
BPS is not just a denture; it is a complex protocol using the highest quality materials from Ivoclar Vivadent and specialized impression-taking methods. This is the solution for those who want a removable restoration but are unwilling to compromise on aesthetics and stability.
- Pros: Much more stable than an average denture due to functional impression-taking, allowing for more efficient chewing. An outstanding vacuum effect is achieved between the gums and the baseplate.
- Cons: Despite superior retention, it is still a removable device covering the palate. The price is higher than traditional versions due to the engineering precision and premium materials required.
Partial Removable Dentures (Clasp-retained)
If some natural teeth remain, the restoration is attached to them using metal clasps.
- Pros: More stable than a complete denture, as the remaining natural teeth provide anchor points.
- Cons: Metal clasps may be visible when smiling and can put stress on the anchor teeth over time, potentially leading to their loosening.
2. Hybrid and Combined Dental Replacements: The “Invisible” Attachment
Combined restorations consist of a fixed part (crowns on existing teeth) and a removable part, connected by hidden attachments or sliders.
- Pros: Significantly more stable and aesthetic than clasp-retained dentures, with no visible metal elements.
- Cons: Still contains a removable part that must be taken out for cleaning. The existing anchor teeth must be prepared (shaved down) for the crowns.

MK1 hybrid prosthesis
3. Fixed Dental Replacements on Natural Teeth: Bridges and Full-Arch Bridges
If sufficient and healthy natural teeth are available at strategic points, it is possible to restore a partial or full arch without the need for dental implants.
Traditional Dental Bridge
A series of artificial teeth anchored between two or more natural teeth (abutment teeth).
- Pros: Completely fixed, provides a natural feel, and does not move during chewing.
- Cons: The healthy teeth adjacent to the gap must be shaved down, resulting in the loss of healthy tooth structure.
Full-Arch Circular Bridge
If at least 6-8 healthy natural teeth remain in the jaw, they can be connected with a single, horseshoe-shaped continuous bridge.
- Pros: The most natural-feeling fixed solution for those who wish to avoid surgery. No implants or healing time required.
- Cons: All involved teeth must be shaved down. If any abutment tooth fails in the future, the entire bridge may need to be replaced.
4. Implant-Supported Fixed Partial and Full Removable Dental Replacements
When natural teeth can no longer bear the load or are missing entirely, implants take over the role of stable anchor pillars.
Partial Fixed Bridges on Implants
- The Biggest Advantage: This method completely preserves the adjacent healthy teeth. No shaving is required; the implant serves as an independent root to hold the crown or bridge.

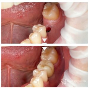
Screw-retained crown on a dental implant
Locator-Retained Overdenture (“Snap-on” Teeth)
Special attachments (Locators) placed on 2-4 implants snap the denture into place.
- Pros: Far more stable than a standard denture. Palate coverage can often be significantly reduced. More cost-effective than a fully fixed prosthesis.
- Cons: Minimal movement may remain, and the retention inserts need to be replaced periodically by a dentist.

Locator-retained denture on 2 implants
Bar-Retained Overdenture on 4 Implants
We connect the implants on a rigid metal bar, onto which the denture “clips.”
- Pros: Exceptional stability and a sense of security. Pressure on the gums is minimal, as the bar distributes chewing forces evenly.
- Cons: It is a removable solution, and the area under the bar requires thorough daily cleaning.

Bar-retained denture on 4 implants
5. Fixed Implant Restorations: The Gold Standard
These restorations are permanently fixed (screw-retained), functioning and feeling exactly like your original, healthy teeth.
All-on-4 and All-on-6 Concepts
4 or 6 specially placed implants support a full, screw-retained fixed bridge.
- Pros: We can use this method even with low bone density, often without bone grafting. Immediate Loading: At Smile Designers, you receive a fixed temporary bridge within 48-72 hours, allowing you to eat again almost immediately.
- X-Guide Navigation: Using the digital navigation technology at our clinic, implant placement is pinpoint accurate, fast, and minimally invasive.
- Cons: Higher initial cost, but it is the best long-term investment in your quality of life.

All-on-4 monolithic zirconia dental replacement
Frequently Asked Questions (FAQ)
1. Full-arch bridge on natural teeth or All-on-4? Which is better?
If the roots of your natural teeth are strong, a full bridge can be an option. However, since the restoration is often a single piece, if one anchor tooth fails or the bridge is damaged, the entire structure may need to be removed. If your natural teeth are already mobile or inflamed, removing them and opting for an All-on-4 restoration provides a much more predictable and durable long-term result.
2. Is dental implant surgery painful?
Thanks to modern anesthesia and X-Guide navigation, the procedure at our clinic is a relaxing, stress-free experience. Healing is generally faster than with traditional surgery.
3. How long is the guarantee?
At Smile Designers, we prioritize durability. We offer a 3-year guarantee on our premium restorations and up to a 15-year guarantee on the implants themselves.
4. Why travel to Budapest for dental replacements?
Patients from the UK and Ireland can save up to 50-70% on their dental bills while receiving world-class care with premium Swiss and Swedish implants. We provide full logistical support to make your trip as smooth as possible.
Dr. András Győrfi is a leading expert in aesthetic and restorative dentistry and the founder of the Smile Designers clinic. With a career spanning back to 2006, he is a graduate of the University of Pécs and specialized at the University of Szeged. Since 2014, he has been the driving force behind Smile Designers, focusing on his passion: smile makeovers, dental veneers, and implantology. Dr. Győrfi believes in a collaborative approach, working alongside a premier team of specialists to deliver life-changing dental transformations with precision and care.
You must be logged in to post a comment.