Articles

Emax veneers - A case study
22Feb, 2026

Case Study: BL1 Shade Emax Veneer Restorations

By: | Tags: , ,

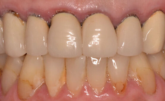
A Smile Transformation Case Study: BL1 Shade Emax Veneer Restorations In today’s modern aesthetic dentistry, you don’t have to compromise on your dream smile. In this post, we present a young female patient’s case. She arrived at our clinic with a clear vision: she wanted a perfectly aligned, bright, and natural-looking smile using veneers.   Initial Situation: Overcoming Crowded Teeth Our patient presented with crowded teeth at the first consultation. Initially, we recommended orthodontics. A clear aligner system could have aligned the teeth in just 4–5 months. However, she declined […]
READ MORE

8Feb, 2026

Dental Replacements: From Dentures to All-on-4

By: | Tags: , ,

Dental Replacements: The Ultimate Guide – From Removable Dentures to Fixed All-on-4 Losing teeth is far more than just an aesthetic concern. When one or more teeth are missing, it can lead to chewing difficulties, a sagging facial profile, and a significant loss of self-confidence. Fortunately, modern dentistry now offers numerous paths to full rehabilitation. In this article, we will guide you through the various options for tooth replacement: from traditional methods and fixed bridges on natural teeth to the most advanced dental implants. 1. Traditional Removable Dentures: The Basic […]
READ MORE

All-on-4 zirconium prosthesis
25Jan, 2026

Case Study: Creating a Complex All-on-4 Fixed Prosthesis

By: | Tags:

From 23 Extractions to a Perfect Smile: Creating a Complex All-on-4 Fixed Prosthesis In dentistry, we often talk about truly life-changing moments, and full-mouth rehabilitation is exactly that. In this post, we present a detailed look at how we replaced the challenges caused by periodontal disease and decay with a fixed, aesthetic, and functionally perfect solution—all within just a few days. As a result, our patient regained not only their ability to chew but also their lost self-confidence.   The Diagnosis: When Saving Teeth is No Longer an Option Many […]
READ MORE

Immediate fixed denture All-on-4
27Dec, 2025

The Truth About Immediate All-on-4 Fixed Dentures

By: | Tags: ,

Fixed Dentures Immediately? The Truth About All-on-4 Immediate Dentures Many of our patients arrive with the question: is it possible to get fixed dentures immediately, that is, on the day of the surgery? Promises circulating on the internet often suggest that you can leave with a seemingly permanent set of teeth right after implant placement. Although it is technologically possible to create a quick replacement immediately using 3D printing, at our clinic, we have chosen a safer path in the interest of quality and long-term success. With us, fixed teeth […]
READ MORE

Dental Implants and Gum Disease
27Dec, 2025

Dental Implants and Gum Disease

By: | Tags: , ,

Dental Implants and Gum Disease: Is It Possible to Get Implants with Periodontitis? Gum disease (periodontitis) is a silent epidemic affecting a significant portion of the adult population in the UK. This chronic inflammation is the leading cause of tooth loss among adults. When patients are diagnosed with advanced gum disease and face the reality of losing their teeth, their first question is often: “Can I get dental implants, or am I doomed to wear removable dentures forever?” The answer is a definitive yes, but with strict conditions. Getting dental […]
READ MORE

Root Canal Revision with Microscope, Root Canal Retreatment
27Dec, 2025

Root Canal Revision: Can a Failed Root Canal Be Saved?

By: | Tags: ,

Root Canal Revision: Can a Failed Root Canal Be Saved? There are few things more disheartening in dentistry than feeling pain in a tooth you thought was already “fixed.” You went through the procedure, paid for the treatment, and assumed the problem was solved forever. So, when that familiar ache returns, panic often sets in. Is the tooth doomed? Do I need an extraction? If you are experiencing discomfort in a previously treated tooth, you might be dealing with a failed root canal. However, this diagnosis does not automatically mean […]
READ MORE

All-on-4 Vs. Removable Denture
24Dec, 2025

All-on-4 Dental Implants in Budapest vs. Dentures

By: | Tags: ,

Removable Dentures or All-on-4: Which is Better for Your Quality of Life? Tooth loss is far more than just a cosmetic concern. It fundamentally shakes a person’s self-confidence, affects eating habits, speech, and ultimately, their overall quality of life. When the time comes to replace missing teeth, patients often face a major dilemma: should they choose traditional, well-known removable dentures, or invest in a more modern, implant-supported solution like All-on-4 dental implants in Budapest? The decision is not simple. It involves not only financial considerations but also determines your daily […]
READ MORE

Ceramic veneers vs composite bonding
23Dec, 2025

Porcelain Veneers vs. Composite Bonding

By: | Tags: ,

Porcelain Veneers vs. Composite Bonding: Which is the Better Long-Term Investment? A perfect, harmonious smile is no longer just a privilege for movie stars. Modern aesthetic dentistry offers an impressive array of tools to correct tooth colour, shape, or minor irregularities. When patients decide to embark on a smile makeover, one of the most common dilemmas they face is choosing the technology: porcelain veneers or composite bonding? Both solutions can achieve spectacular results, but we are fundamentally talking about different materials, procedures, and—perhaps most importantly—different lifespans. The decision is not […]
READ MORE

Dental implant prices Budapest
14Dec, 2025

Dental Implant Prices in 2026 Budapest

By: | Tags: , , ,

Dental Implant Prices in 2026 in Budapest: What Does a “No Hidden Costs” Quote Include? It is 2026. Following the economic changes of recent years, it is natural that as a patient, you are looking more closely at where you spend your money – especially when it comes to your health and a long-term investment like tooth replacement. When researching dental implants online, you often encounter “too good to be true” promotional prices, only to face reality at the consultation: the final total bears no resemblance to the advertisement. At […]
READ MORE

All-on-4 full mouth implants
13Dec, 2025

All-on-4: Fixed Full Mouth Dental Implants

By: | Tags: , ,

All-on-4: Fixed Full Mouth Dental Implants in 72 Hours? How is it Possible? Tooth loss is not just an aesthetic issue; it fundamentally shakes self-confidence, makes eating difficult, and distorts speech. Many people struggle for years with unstable, removable dentures or delay treatment due to fear of long recovery times. However, modern dentistry offers a revolutionary solution: the All-on-4 concept, which allows patients to regain their quality of life within days. But is it really possible to get fixed Full mouth dental implants in just 72 hours? The answer is […]
READ MORE